Quick & Reliable Dental Implants in Houston Texas Services
    
Link Title  


        [hplImageResource]

Link Short URL


Link Long URL


Description:
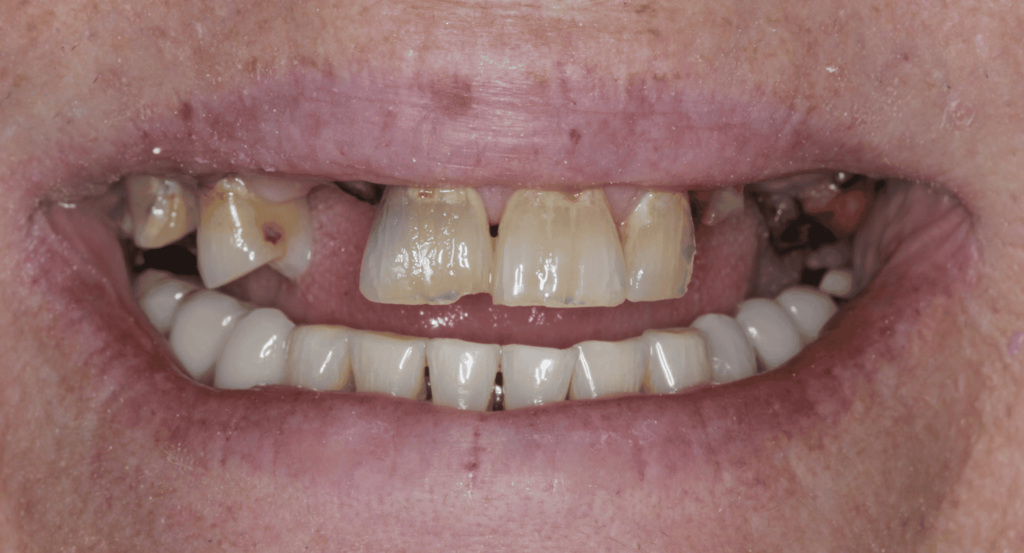
Restore your smile with fast and dependable dental implants in Houston Texas at URBN Dental. Our experienced team uses advanced technology to provide precise, natural-looking, and long-lasting implant solutions for missing or damaged teeth. At URBN Dental, we prioritize patient comfort and personalized care, ensuring a smooth and stress-free experience from consultation to aftercare. Trust URBN Dental for professional, efficient, and high-quality dental implants in Houston Texas that enhance both your oral health and confidence.

Keywords (Tags):  


Created by:  Urbn Dental

Created on:  

Hits: 13

Share link:   

Email link:   
   
Why Join?  | Contact Us  | Linqto.me - all rights reserved. Version 9.1.10.45